Skip to content
POCUS Revolution
Menu
Home
Cases
Basics
Contribute
Electives & Courses
About
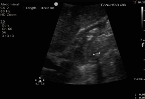
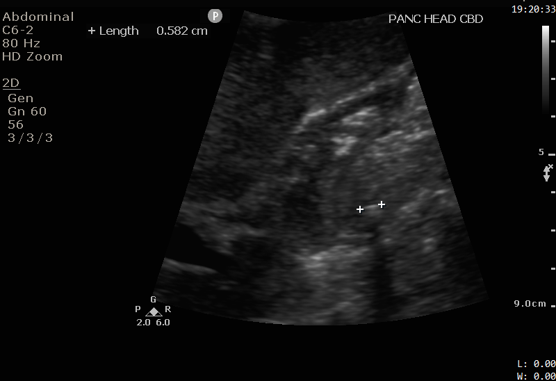
panc-head-stone-2
Leave a comment
Cancel reply
Δ
Post navigation
Previous
panc-head-stone-2
Comment
Subscribe
Subscribed
POCUS Revolution
Sign me up
Already have a WordPress.com account?
Log in now.
POCUS Revolution
Subscribe
Subscribed
Sign up
Log in
Copy shortlink
Report this content
View post in Reader
Manage subscriptions
Collapse this bar
search
previous
next
tag
category
expand
menu
location
phone
mail
time
cart
zoom
edit
close